Cabinet dentaire du Dr GOUTERON
Chirurgien-Dentiste à Gallargues le Montueux
+33 4 66 93 41 90
15 rue des rachalans, 30660 Gallargues le Montueux
Cabinet dentaire du Dr GOUTERON
Chirurgien-Dentiste à Gallargues le Montueux

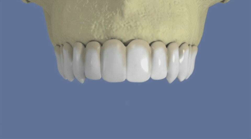
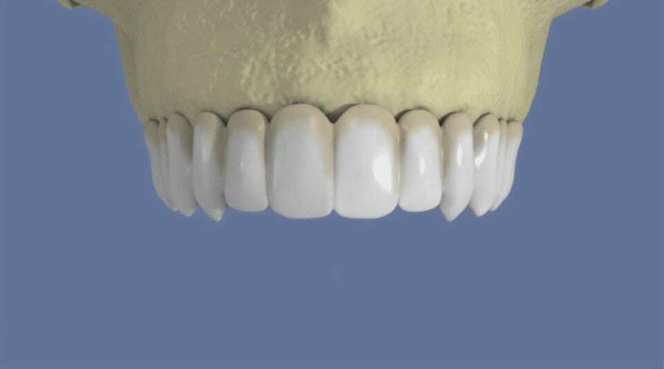
Maxillaire : bridge vissé sans fausse gencive


video-play-icon

Articles similaires

Création par Webdentiste

Connexion